Only used in cases of accidents,
illnesses, etc. that are not life-threatening
For more serious problems
please call 911.
511 SW 10th Ave 1206,
Portland, OR United States

With more than 12 years of experience in neurosurgery, Dr. Muhammad Aqeel Natt has built a reputation for combining advanced surgical precision with genuine empathy. At The Brain and Spine Centre, our mission is simple: to restore health, relieve pain, and give every patient the confidence of personalized, world-class care.
Whether you’re struggling with a spinal condition, a brain tumor, or nerve-related pain, Dr. Natt’s evidence-based approach ensures the safest and most effective treatment options available today.
Schedule your consultation today with Dr. Aqeel Natt for expert diagnosis and personalized treatment planning. Call us at 0318 4065914 or book your appointment online instantly.
Our Areas of Expertise
We manage the full spectrum of neurosurgical conditions—from brain tumors and neurovascular diseases to complex spine disorders and pediatric neurosurgery. Our advanced treatment solutions are tailored to help patients recover and thrive. Learn more about our services below.
Why Patients Choose The Brain and Spine Centre
Neurosurgical care requires trust and expertise. Patients across Lahore, Sialkot, Narowal particularly and throughout the Punjab generally rely on Dr. Muhammad Aqeel Natt for his innovative, safe, and patient-centered approach. Our center delivers advanced diagnostics, modern minimally invasive surgery, and structured rehabilitation pathways for comprehensive recovery.
Your Path to Better Health Begins Here
We believe every patient deserves clarity and confidence before any procedure. Here’s how Dr. Muhammad Aqeel Natt and his team ensure exceptional outcomes:
Dr. Muhammad Aqeel Natt delivers world-class neurosurgical care across multiple trusted hospitals—including Farooq Hospital (Thokar Niaz Baig & DHA), Unicare Medical Center Lahore, Brain and Spine Center Narowal, and Muhammadi Hospital Sialkot.
Each location is outfitted with the latest surgical technology and staffed by compassionate professionals dedicated to your comfort, safety, and recovery.
Our specialized services include:
Our Mission
Lorem ipsum dolor sit amet, consectetur adipiscing elit. Vestibulum quis ullamcorper ligula.
Lorem ipsum dolor sit amet, consectetur adipiscing elit. Vestibulum quis ullamcorper ligula.
Lorem ipsum dolor sit amet, consectetur adipiscing elit. Vestibulum quis ullamcorper ligula.
The Brain and Spine Centre’s multidisciplinary team works closely with Dr. Muhammad Aqeel Natt to deliver seamless care—from diagnosis to recovery. Every team member shares a single purpose: restoring patients’ health and confidence through excellence, precision, and empathy.
From trouble sleeping to work stress to anxiety to depression, we all have difficulty managing our emotions at times.
What Our Patients Say
Our patients’ recovery stories speak louder than words. Their trust fuels our passion for providing top-tier neurosurgical care.
Posted on usman syedTrustindex verifies that the original source of the review is Google. NicePosted on Abdul AzizTrustindex verifies that the original source of the review is Google. He is a very good doctor and very good person.Posted on Ahmad RazaTrustindex verifies that the original source of the review is Google. Very copprative calm and humble Neurosurgeon doc aqeel nat .Posted on Ali HamzaTrustindex verifies that the original source of the review is Google. Very humble person.highley recommended .Posted on Ali RazaTrustindex verifies that the original source of the review is Google. "I felt very comfortable and confident.. "I would highly recommend this doctor to anyone."I am so grateful to have found Dr. Aqeel Natt. He is one of the best neurosurgeons in Lahore, and his expertise and compassion made all the difference in my recovery.Posted on Muhammad umair Khan kakarTrustindex verifies that the original source of the review is Google. Best Neuro Dr. Blessing for the patients. Stay blessed Dr Aqeel Natt
Feb 21
Neurosurgical Infections: A Serious Threat to Your Life! 🧠⚠️
Expert Neuro Care is the only way to manage critical infections.
Neurosurgical infections, such as Brain Abscesses or Craniotomy Biofilm infections, are medical emergencies that require immediate and specialized attention. Safe and effective treatment must be conducted under the strict supervision of an expert neurosurgeon.
خطرناک انفیکشن ماہر نیوروسرجن کی نگرانی میں محفوظ علاج
🚨 Why You Must Act Immediately:
Brain Function Collapse: Infections can lead to a total shutdown of vital brain functions.
Irreversible Nerve Loss: Delay in treatment can result in permanent damage to the nervous system.
Sudden Neurological Disability: Unexpected loss of physical or cognitive abilities.
Loss of Speech or Movement: Difficulty communicating or moving your limbs.
Critical Brain Pressure Build-up: Infections can cause dangerous swelling and pressure within the skull.
High Risk to Life: These conditions are life-threatening if not managed by experts.
At The Brain & Spine Centre, we specialize in diagnosing and treating complex neurosurgical and prosthetic joint infections to protect your future.
Consult our neuro experts today!
📞 For More Details: 0328-815-3688
📱 Follow us: Brain & Spine Centre
#NeurosurgicalInfections #BrainHealth #NeuroSurgery #TheBrainAndSpineCentre #BrainAbscess #HealthAwareness #EmergencyCare #Neurology #Lahore #MedicalSpecialist
...
Feb 20
Severe Facial Pain? It Could Be Trigeminal Neuralgia! ⚡🧠
"Current-like" shocks in the face are not normal—here is how we treat it.
Imagine feeling an electric shock in your jaw every time you speak or eat. This patient was suffering from Trigeminal Neuralgia, experiencing severe "current-like pain" in her lower jaw.
The Challenge & Solution:
Complex Case: The patient was immunocompromised, meaning major open surgery was too risky.
Minimally Invasive Solution: We chose Radiofrequency Ablation (RFA). Using a specialized needle guided by live X-ray imaging, we targeted the V3 nerve branch causing the pain.
Immediate Relief: The procedure was a success! The "current" pain resolved immediately, leaving the patient pain-free and recovering comfortably.
At The Brain & Spine Centre, we offer advanced, non-surgical options for chronic pain relief. You don`t have to live with the pain!
Contact Details 📞
Book Your Appointment: 0328-815-3688
Specialist: Dr. Muhammad Aqeel Natt (Assistant Professor of Neurosurgery)
Follow us: Brain & Spine Centre
#Reels #Shorts #Doctor #Viral #Trending #ExplorePage #FYP #MedicalEducation #HealthTips #ReelsInstagram #TrigeminalNeuralgia #FacialPain #ChronicPain #Neurosurgery #PainManagement #RFA #BrainHealth #MedicalBreakthrough #HealthAwareness #TheBrainAndSpineCentre #DrAqeelNatt #Lahore #Pakistan #SpecialistCare #NeurologyClinic #PainFreeLife
...
Feb 19
Brain Tumor: Early Diagnosis Saves Lives! 🧠🛡️
Don`t ignore the warning signs—timely action can save brain function.
A brain tumor is a serious condition, but early detection makes all the difference. As we say: "دماغی رسولی کا بروقت علاج زندگی بچا سکتا ہے" (Timely treatment of a brain tumor can save a life).
🚨 Common Symptoms to Watch For:
Persistent Headaches: Unexplained or worsening head pain.
Vision Issues: Blurred vision or sudden changes in eyesight.
Seizures: New onset of seizures or convulsions.
Vomiting: Frequent nausea or vomiting not related to other illnesses.
Limb Weakness: Numbness or loss of strength in arms or legs.
Speech Problems: Sudden slurred speech or difficulty communicating.
Personality Changes: Shifts in mood, behavior, or self-identity.
Confusion: Feeling disoriented or struggling with cognitive tasks.
If you or a loved one are experiencing these symptoms, consult our specialists immediately. Early diagnosis is your best defense.
📞 For More Details: 0328-815-3688
📱 Follow us: @brainspinecentre
#BrainTumor #EarlyDiagnosis #BrainHealth #Neurology #HealthAwareness #SaveLives #TheBrainAndSpineCentre #MedicalAdvice #Lahore #Healthcare
...
Feb 18
Ramadan Mubarak! 🌙✨
Prioritizing your health for peaceful worship.
The Brain & Spine Centre wishes you and your family a blessed and spiritually fulfilling Ramadan. As the holy month begins, our message is simple: "Ramadan mein sehatmand jism, pur-sukoon ibadat" (A healthy body ensures peaceful worship during Ramadan).
Taking care of your physical health is essential to performing your prayers and fasting with full devotion and energy. May this month bring healing, peace, and prosperity to everyone.
📞 For Appointments: 0328-815-3688
📱 Follow us: brainandspinecentre1
#RamadanMubarak #Ramadan2026 #BrainAndSpineCentre #SehatmandRamadan #HealthAndWellness #Lahore #SpineHealth #Ibadat #PeacefulWorship
...
Feb 17
Fungal Disease: A Silent Threat to Your Brain! 🧠⚠️
Don`t ignore the warning signs—Early Detection Saves Lives.
Fungal infections affecting the brain can be extremely dangerous if not treated immediately. At The Brain & Spine Centre, we emphasize that "دماغی انفیکشن کا بروقت اور محفوظ علاج" (Timely and safe treatment of brain infection) is crucial for survival and recovery.
⚠️ Severe Complications if Untreated:
Brain Swelling: Dangerous inflammation that puts pressure on the brain.
Stroke-like Complications: mimicking stroke symptoms and causing severe damage.
Seizures & Vision Loss: sudden seizures or deteriorating eyesight.
Permanent Nerve Damage: Irreversible harm to the nervous system.
Life-Threatening Infection: A critical condition requiring urgent expert care.
Your health cannot wait. If you suspect any neurological issues, consult our experts immediately.
📞 Book Your Appointment: 0328-815-3688
📱 Follow us: brainandspinecentre1
#BrainAndSpineCentre #FungalInfection #BrainHealth #Neurology #Seizures #StrokeAwareness #Lahore #Neurosurgery #EarlyDetection #LifeSavingCare
...
Feb 12
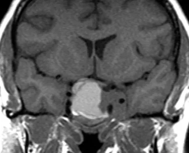
Advanced Pituitary Surgery: No Incision, Faster Recovery! 🧠✨ Jadeed technique se mehfooz aur mo`asar ilaaj.
Are you or a loved one dealing with vision issues, hormonal imbalances, or persistent headaches? 😰 These can often be signs of a pituitary tumor. Traditionally, brain surgery meant large incisions and long recovery times, but medical science has evolved.
At The Brain & Spine Centre, we offer Advanced Pituitary Surgery using the Transnasal Endoscopic approach. This means the tumor is reached through the nose—leaving no external scars, preserving your vision, and ensuring a much faster return to your normal life.
Why Choose Transnasal Endoscopic Surgery?
Minimally Invasive: No external incisions or scars.
Vision Preservation: Targeted approach to protect the optic nerves.
Hormonal Recovery: Helps restore normal body functions.
Faster Healing: Significantly reduced hospital stay and recovery time.
Don`t let a diagnosis overwhelm you. Trust our neuro experts to provide the most advanced, compassionate care available.
📍 The Brain & Spine Centre
📞 Appointment: 0328-815-3688
🌐 Follow us: @brainandspinecentre1
#PituitarySurgery #BrainSurgery #NeuroSurgery #MinimallyInvasive #TransnasalSurgery #VisionHealth #TheBrainAndSpineCentre #DrAqeelNatt #HealthAwareness #Lahore #Pakistan #AdvancedMedicine #RecoveryJourney
...
Customer Testimonials
Overall Rating 4.7 / 3285 reviews on Zocdoc >
Address
Farooq Hospital West Wood Branch, Thokar Niaz Baig, Lahore
Opening Hours: 7.00am – 19.00pm
WhatsApp us
